![]()


■呼吸停止時間の短縮
息止めが必要な検査では呼吸停止時間が大幅に短縮されます。
■高精細三次元画像
より薄いスライスデータから様々な断面の画像、高精細な三次元画像が作成可能です。
■最小限の被ばく
高度な技術により被ばくを最小限に抑え、安全な検査が可能です。
■早期発見・早期治療に
今までのCTでは発見できなかった微小な病変も診断でき、検診では難しい肺がんなども早期発見・早期治療で日頃より地域の皆様の健康をお守りいたします。
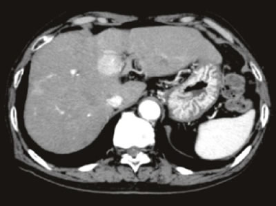
■実際の画像
中腹部・S状結腸肥大(全体の撮影が可能です)

胸部肺がん

腹部肝細胞がん

脳動脈瘤

ひざ骨折

当院ではマルチスライスCTを使った肺ガンの早期発見を得意としております。 → 肺ガンの早期発見





