![]()
肺癌のマルチスライスCTによる早期発見
胸部X線写真 |
←左は一般的に撮影される胸部レントゲン写真です。一見どこにも異常はないように見えます。
わずか右上にかすかな曇りがあります。もちろん症状があるわけではありません。
|
|---|---|
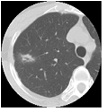
マルチスライスCT画像 |
←左はマルチスライスCTで撮った断層写真です。直径約2cmの肺癌の腫瘍陰影がはっきり写っています。
このように一般の単純写真では、専門の放射線の医師でも判定が不可能な異常がマルチスライスCTでははっきり撮すことが出来ます。
|
現在肺癌の検診には単純な胸部レントゲンでは早期肺癌は発見出来ないことが判明しており、胸部レントゲン写真は肺癌の発見には無効との判断が出ています。
2cm以下の肺癌でも上皮内にとどまるものは術後5年生存率は100%、上皮よりすすんで基底膜を超えるものは術後5年生存率70%に低下します。健診でひっかかりマルチスライスCTで肺癌が見つかったもの中にはいわゆる「やぶにらみ」(精密検査の部位が異なる)で発見されたのものあります。 肺癌はがん死亡の原因の中で男性では一番、女性でも3番目と年々多くなっています。
当院のマルチスライスCTは一回の息とめで(15~30秒)で撮影でき、短時間で撮影が終了します。2mm巾のスライスで断層像を撮影することができます。また立体画像も作ることができます。頭部では3Dと呼ばれる立体的な血管像も作成でき、動脈瘤を見つけることに役立ちます。
【マルチスライスCTの詳しい情報はこちら】
胸部マルチスライスCT検査をご希望の方は
お気軽にご相談ください。








